Buscar este blog

miércoles, 2 de noviembre de 2016

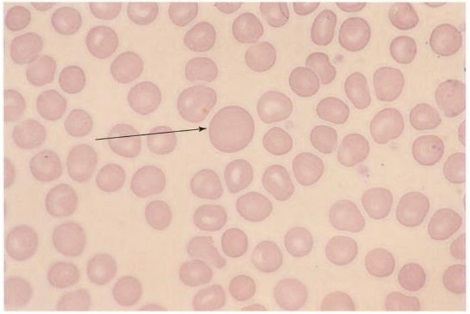
Macrocitos

(Anderson & Poulsen, 2003)
Recuperado de

Alteración en el tamaño de los eritrocitos maduros en sangre periférica.
Tamaño: mayor a 8µm
Los eritrocitos presentan un diámetro mayor que el eritrocito normal, son de forma redonda
Consideraciones clínicas
Eritropoyesis acelerada 
Enfermedades crónicas hepáticas
Neonatos 
(Naranjo, 2008)
Anemias megaloblásticas 
Síndrome mielodisplásico 
Quimioterapia 
(Anderson & Poulsen, 2003) 

No hay comentarios:

Publicar un comentario