Buscar este blog

miércoles, 2 de noviembre de 2016

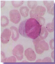
Cuerpos de Auer

(Naranjo, 2008) 
Recuperado de 

Gránulos azurófilos alargados o en forma de bastón. 
Encontrados en el citoplasma de los mieloblástos y contienen peroxidasa y otras enzimas.
Son el resultado anormal de los gránulos inespecíficos 
Consideraciones clínicas
Leucemias mieloides
(Naranjo, 2008) 

No hay comentarios:

Publicar un comentario